By: Problyn J. Alpha
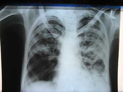
The Tuberculosis or TB and Leprosy Focal person attached to the District Health Management Team Kono Samuel Mills, has said that the district is presently at 92.1 % treatment success rate of Tuberculosis or T.B.
Samuel Mills made this pronouncement during the official opening of a two day District stakeholders sensitization on Covid-19 with special reference to demand creation and utilization of TB services. The event was organized by the Ministry of Health and Sanitation including the District Health Management Team and the office of the Tuberculosis Department all in Kono District.
According to Mr. Mills, the objective of the District stakeholders sensitization session was for the participants to know what is Tuberculosis, it’s preventive and creative measures including plans put afoot to maintain the impacts so far achieved in the fight against the disease in the district and Country as whole. He said Kono District since started admitting multi- drug resistance patients and therefore appealed to all and sundry to be tested in order to know their status as prevention is cheaper and better than cure.
Samuel Mills intimated the audience that in the not too distant future, his department with support from the Ministry of Health and Sanitation including its partners, would soon create TB treatment centers at the different correctional centers across the country. He thanked the community Health Workers for being hard working and very committed to work. He urged them not to relent because they are the secret behind the 92.1% treatment success rate of TB Patients in the district.
Making a statement , the Chairman of Kono District Council Sahr Solomon Gbondo, recalled how TB and Leprosy patients were highly marginalized owing to the devastating nature of the aforementioned sicknesses. Mr. Gbondo pointed out that for the sensitization would create a multiplier effect or impacts only if everybody put hands on deck .
Madam Finda Sinah, the Deputy District Mama Queen Kono , underscored the involvement of all and sundry for the prevention of TB especially women as they are the most viable set of people in every facet of life.
She appreciated the initiative and relentless effort of the Ministry of Health and Sanitation for organizing the session. She therefore, urged the participants to serve as Ambassadors for the preventive measures and messages of T.B.

